Wahweap

My sister and wife fishing and soaking in the late afternoon sun. Soon after this photo was taken, I learned the hard way not to ever kick a catfish. I caught one and as I went to release it, it fell on the back deck of the boat. I knew those things had big, sharp spikes on their fins, but before I could think, I used my foot to get the fish back into the water. Luckily the bone in my big toe kept the spear from going all the way through it. I'm not sure if it's venom or what, but the 'sting' that those things give is INCREDIBLE PAINFUL!!!

A little follow up from this trip report. Specifically about this part where I kicked the fish. Well a few months later, a little lump started developing where the puncture site was. After a while, it was clear that something was in there. I talked to my doc about it but he wanted to wait because of some other crap with allergies I was dealing with.

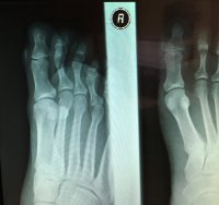
Fast forward to last month. I backpacked 12 miles and it started hurting like crazy. Whatever was in there was right under the skin and I could actually move it around a bit. So I go to my doc and he x-rays it. The radiologist report just said "12mm foreign object with the same density as bone". My report was "That looks like a catfish barb!".

So I ask my doctor to take it out. He gets all wishy washy and refers me to general surgery. I call them, they laugh and send me to orthopedics. At this point it was getting clear no one wanted to do it and orthopedics seemed less likely than the other two to help, so I called my brother in law. He said call a podiatrist. The wait was 2 months so I called my doc back and said please take it out or I might do it myself. He said he'd call and ask general surgery nicely, again no. Everyone was basically taking the stance of 'if you're not bleeding, we're not touching you'.

Finally the podiatrist, apparently amused by the strangeness of all of this agreed to see me despite being booked solid. Today I went back and he opened me up. It took him 20+ minutes of digging around in there to get the barb out. It has teeth like a fish hook that keep it from coming back out like I thought it would. Good thing we didn't try at home! Anyway, it's been pretty interesting dealing with this. Part of me wishes that this little thing was like my kryptonite and now that it's gone all of the bizarre allergies I've accumulated in the last year will magically go away. Haha! Lesson learned, do not kick a catfish.

But this would be lame without photos. For those that don't want to see photos of my x-rayed foot as well as a freshly removed chunk of catfish barb from my toe (a little blood), then don't click below to see the photos. Everyone else, proceed.

xray-full.jpg

xray-zoom.jpg

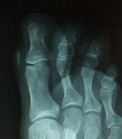
It took the doc like 20 minutes of digging to get it out. The teeth of the barb kept it securely in place. That thing is just under a half an inch long.
catfish-barb.jpg





.
 
A little follow up from this trip report. Specifically about this part where I kicked the fish. Well a few months later, a little lump started developing where the puncture site was. After a while, it was clear that something was in there. I talked to my doc about it but he wanted to wait because of some other crap with allergies I was dealing with.

Fast forward to last month. I backpacked 12 miles and it started hurting like crazy. Whatever was in there was right under the skin and I could actually move it around a bit. So I go to my doc and he x-rays it. The radiologist report just said "12mm foreign object with the same density as bone". My report was "That looks like a catfish barb!".

So I ask my doctor to take it out. He gets all wishy washy and refers me to general surgery. I call them, they laugh and send me to orthopedics. At this point it was getting clear no one wanted to do it and orthopedics seemed less likely than the other two to help, so I called my brother in law. He said call a podiatrist. The wait was 2 months so I called my doc back and said please take it out or I might do it myself. He said he'd call and ask general surgery nicely, again no. Everyone was basically taking the stance of 'if you're not bleeding, we're not touching you'.

Finally the podiatrist, apparently amused by the strangeness of all of this agreed to see me despite being booked solid. Today I went back and he opened me up. It took him 20+ minutes of digging around in there to get the barb out. It has teeth like a fish hook that keep it from coming back out like I thought it would. Good thing we didn't try at home! Anyway, it's been pretty interesting dealing with this. Part of me wishes that this little thing was like my kryptonite and now that it's gone all of the bizarre allergies I've accumulated in the last year will magically go away. Haha! Lesson learned, do not kick a catfish.

But this would be lame without photos. For those that don't want to see photos of my x-rayed foot as well as a freshly removed chunk of catfish barb from my toe (a little blood), then don't click below to see the photos. Everyone else, proceed.

View attachment 36506

View attachment 36505

It took the doc like 20 minutes of digging to get it out. The teeth of the barb kept it securely in place. That thing is just under a half an inch long.
View attachment 36504





.

Woah! Those spikes are worse than I would have though. good luck on recovery.
 

Don't like ads? Become a BCP Supporting Member and kiss them all goodbye. Click here for more info.

Back
Top